Arthrose de Genou
Arthrose de Genou
Le genou est l’une des articulations les plus complexe du corps humain. Les douleurs de genou sont des motifs fréquents de consultation en chirurgie orthopédique car elles ont un impact direct sur les actes de la vie courante. Chez des sujets « âgés », l’arthrose est l’un des principaux diagnostics à évoquer devant une douleur chronique du genou.
Le traitement médical permet de soulager efficacement les douleurs. Quand l’arthrose est avancée et résiste au traitement médical, le remplacement de l’articulation du genou est souvent le seul traitement efficace pour améliorer votre qualité de vie.
L’arthrose est un véritable problème de santé publique de nos jours. Elle représente l’une des principales causes de perte d’autonomie chez les personnes âgées. On estime qu’environ 65% des sujets de plus de 65 ans souffrirait d’arthrose. La gonarthrose concerne 30% des personnes de 65 à 75 ans. L’atteinte fémoro-tibiale interne est la plus fréquente et peut être due à une déviation de l’axe mécanique. L’atteinte fémoro-patellaire concerne plus souvent les sujets jeunes faisant suite à un traumatisme endommageant le cartilage ou à une instabilité de la rotule.
Comment fonctionne l'articulation du genou?
L’articulation du genou assure la jonction entre le fémur (condyles fémoraux), le plateau tibial et la rotule (patella). Elle se compose de deux articulations : l’articulation fémoro-patellaire entre le fémur et la rotule et l’articulation fémoro-tibiale qui elle-même se divise en deux compartiments (interne et externe).
L’ensemble des zones de frottement entre les différents os est recouvert d’un cartilage d’une épaisseur d’environ 3 à 4 mm d’épaisseur qui facilite le glissement entre les différentes surfaces articulaires.
La stabilité de cette articulation est obtenue par de nombreuses structures anatomiques. Les ménisques sont des fibrocartilages qui augmentent la congruence articulaire et ont un rôle chondroprotecteur majeur. Les ligaments croisés antérieurs et postérieurs contrôlent la translation tibiale antérieure et postérieure et limitent la rotation tibiale. La membrane synoviale permet de lubrifier l’articulation en sécrétant le liquide synovial. De nombreux autres éléments ligamentaires, capsulaires, et musculaires sont aussi impliqués dans la stabilité du genou.
Qu'est-ce que l'arthrose du genou?
L’arthrose du genou (aussi appelée gonarthrose) est une affection dégénérative, chronique, qui se manifeste par des douleurs et une diminution de la mobilité de l’articulation potentiellement handicapante. Elle peut évoluer lentement pendant une dizaine d’année ou devenir d’emblée invalidante.
L’arthrose désigne un processus d’usure du cartilage liée au vieillissement. Ce n’est pas une fatalité liée à l’âge. Elle cause des dommages irréversibles du cartilage qui perd au fur et à mesure son rôle de surface de glissement et d’amortisseur. La pression sur l’os s’accroît à mesure que l’épaisseur cartilagineuse diminue.
Des excroissances osseuses, appelées ostéophytes, des kystes osseux et des ulcérations cartilagineuses se forment progressivement. En réponse, la membrane synoviale devient inflammatoire et produit un liquide synovial. L’excès de pression articulaire et l’inflammation sont les causent des douleurs de genou. La perte de congruence de l’articulation entraîne quant à elle, une diminution de la mobilité articulaire.
Quels sont les facteurs de risque d'arthrose?
Plusieurs facteurs de risque ont été clairement identifiés :
- Les déformations d’axe : genu varum (jambes arquées) et genu valgum (jambe en X)
- Le surpoids et l’obésité
- Le surmenage articulaire lié ou non à une pratique sportive intensive dans la jeunesse ou au port de charge lourde.
- L’âge. L’arthrose est plus fréquente passé 60 ans.
- Le sexe féminin. L’arthrose touche plus souvent les femmes dont le cartilage est plus fragile. La ménopause est aussi un facteur de risque.
- Les antécédents familiaux d’arthrose.
- Les anomalies anatomiques plus ou moins constitutionnelles : inégalité de longueur de membre, dysplasie fémorotibiale, les antécédents de fracture du genou, les lésions ligamentaires.
- Les maladies métaboliques (diabète, goutte), inflammatoires (polyarthrite rhumatoïde) ou infectieuses.
Comment se manifeste l'arthrose du genou?
L’arthrose est une maladie chronique. Pendant des années, les personnes atteintes ne ressentent pas de douleurs ni de gêne dans la vie quotidienne.
Progressivement des symptômes caractéristiques de l’arthrose apparaissent tels que :
- Des douleurs articulaires qui s’aggravent quand la personne utilise son articulation et diminuent au repos.
- Un gonflement du genou par la production de liquide synovial en phase inflammatoire.
- Un dérouillage matinal au lever.
- Une perte de mobilité du genou.
- Des troubles de la marche.
- Une sensation de craquement ou de blocage de l’articulation.
Ces symptômes évoluent par phase. En effet, l’arthrose présente deux formes cliniques : une phase dite « chaude », congestive et inflammatoire très douloureuse et une phase dite « froide », moins douloureuse, avec une perte de mobilité articulaire, un dérouillage matinal et des difficultés à la marche.
L’arthrose n’entraine pas toujours des douleurs. On parle de dissociation radio-clinique : une arthrose visible radiologiquement n’est pas forcément responsable de douleurs. Dans ce cas, aucun traitement n’est nécessaire.
Comment faire le diagnostic d'arthrose?
Le diagnostic d’arthrose repose sur l’interrogatoire et l’examen clinique. Le médecin interrogera le patient pour déterminer la nature des symptômes et leur évolution, recherchera d’éventuels facteurs de risque, et étudiera le retentissement sur la vie quotidienne.
L’examen clinique évaluera la mobilité articulaire et recherchera un diagnostic différentiel : douleurs projetées sur le genou d’une pathologie rachidienne ou de la hanche, tendinite, lésions ménisco-ligamentaire.
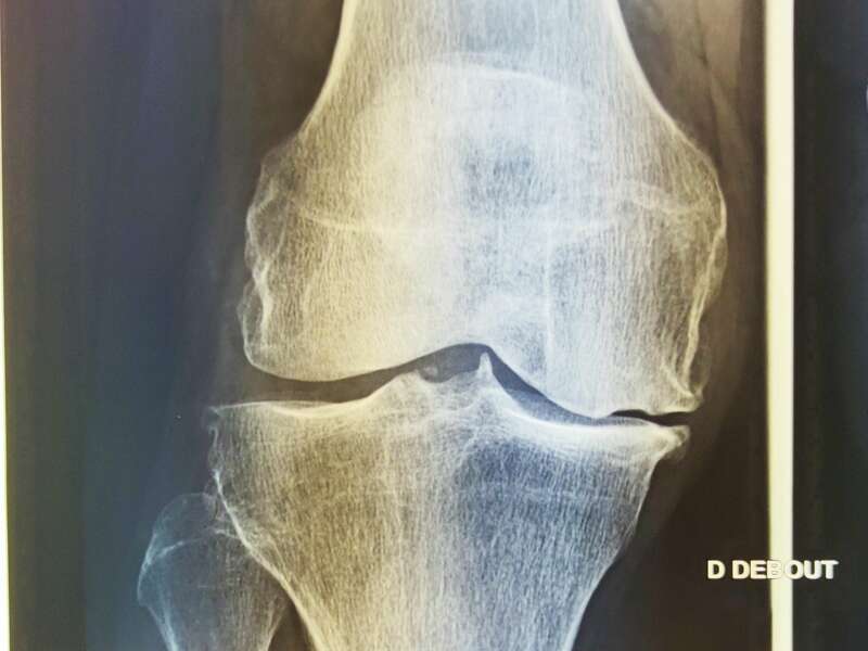
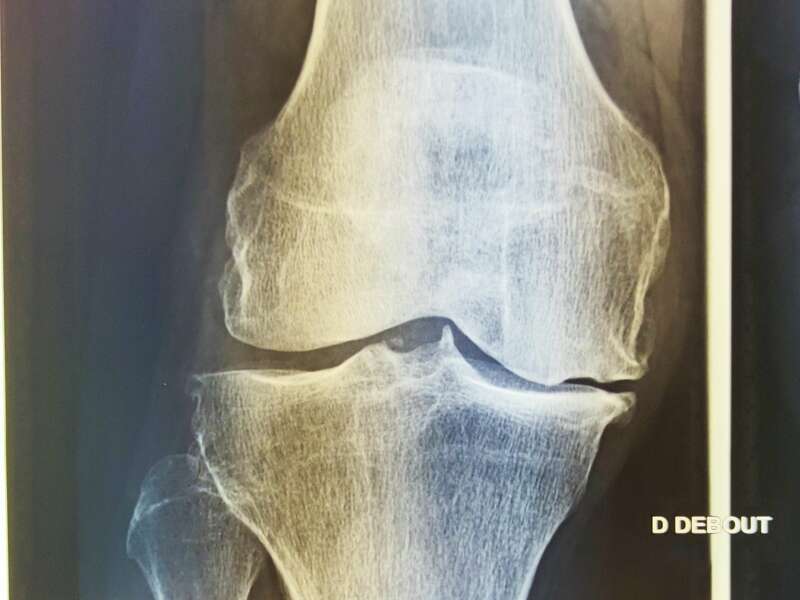
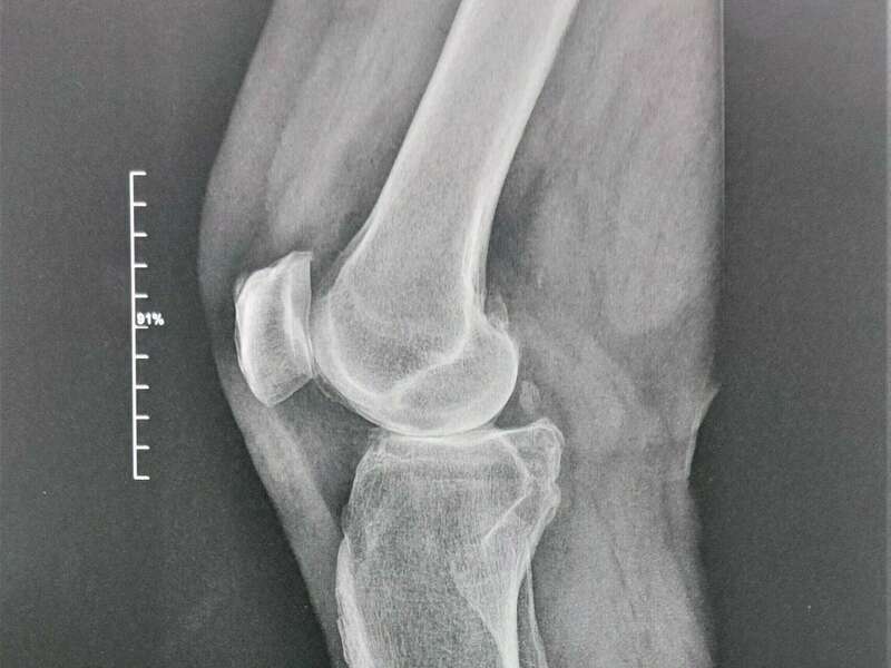
Elle sera confirmée par des examens radiologiques tels que des radiographies du genou. En cas de doute diagnostic ou afin de rechercher d’éventuelles lésions associées, un scanner et/ou une IRM pourront être prescrits.
Comment se traite médicalement l'arthrose du genou?
L’usure du cartilage est irréversible. Actuellement, il n’existe aucun traitement susceptible de régénérer le cartilage. Le traitement médical actuel vise à limiter l’évolution de la maladie et à diminuer les symptômes liés à l’arthrose du genou.
En premier lieu, les mesures hygiéno-diététiques sont indispensables. Une bonne hygiène de vie permet un gain de mobilité et une diminution des douleurs notable.
Mesures hygiéno-diététiques
Parmi ces règles, nous retrouvons :
- La perte de poids : en cas de surcharge pondérale, elle diminue l’hyperpression articulaire.
- L’adaptation de votre activité physique : Les activités à impact telles que la course à pied, doivent être limitées au profit de celles ménageant les articulations (vélo, natation, stretching, yoga, marche avec des chaussures amortissantes…) Il n’est pas recommandé d’arrêter les activités physiques.
- L’aménagement de votre domicile : réhausseur, installation de barre de relèvement dans votre salle de bain.
Traitement médicamenteux
Le traitement médicamenteux est aussi utile. Votre médecin pourra vous prescrire des antalgiques de type paracétamol, et des anti-inflammatoires non stéroïdiens (AINS) en cas de poussée inflammatoire.
Les chondroprotecteurs d’action lente à base d’extraits de cartilage (chondroïtine Sulfate), d’extrait de plantes (Diacéréine) ou de soja et d’avocat (Piasclédine) ne sont pas remboursés par la sécurité sociale et leur efficacité varie d’un individu à l’autre.
Kinésithérapie
La kinésithérapie est très intéressante dans l’arthrose. Elle permet de lutter contre les raideurs articulaires par une mobilisation de l’articulation et un travail d’assouplissement. La lutte contre les douleurs passe par des massages, l’application de chaleur et de froid, et par l’électrothérapie. Et enfin, le renforcement musculaire vise à stabiliser l’articulation.
La médecine dite « douce » parmi laquelle nous retrouvons l’acupuncture, la mésothérapie, la phytothérapie et l’homéopathie peuvent diminuer les douleurs mais leur efficacité n’a jamais été scientifiquement prouvée. Elle ne permet pas de freiner la progression de l’arthrose.
Infiltration intra-articulaire
SI vous douleurs résistent au traitement précédent, des infiltrations intra-articulaires pourront vous être proposées.
Les injections de corticoïdes sont recommandées en phase inflammatoire.
L’acide hyaluronique est recommandé en phase « froide » et permet de « lubrifier » l’articulation et de favoriser le glissement entre le fémur mais ce traitement n’est pas remboursé par la sécurité sociale. Ces infiltrations n’ont aucun effet sur le cartilage.
Depuis plusieurs années, une nouvelle thérapie a vu le jour : les infiltrations intra-articulaires de Plasma Riche en Plaquettes (PRP). Les résultats des études à ce sujet ont démontré un taux de satisfaction d’environ 80%. Etant encore au stade de l’étude, elles ne sont pas remboursées par la sécurité sociale.
Cependant, si vos symptômes résistent au traitement médical bien conduit et entraîne une diminution de votre qualité de vie, le remplacement de votre articulation par une prothèse de genou ou l'ostéotomie du genou semblent être la meilleure option.
Le traitement chirurgical de l'arthrose du genou
En 2013, la Haute Autorité de Santé (HAS) a émis des recommandation concernant la décision d’arthroplastie du genou et sont consultables en cliquant sur le lien ci-contre.
En cas d’arthrose invalidante touchant deux compartiments du genou, et que votre chirurgien vous propose une intervention chirurgicale, il est recommandé de mettre en place une prothèse totale de genou (PTG).
La prothèse unicompartimentale (PUC) est indiquée en cas d’arthrose primaire isolée du genou, interne ou externe, sur un membre normo-axé (absence de Genu Varum ou Valgum), sans atteinte ligamentaire.
Un alternative existe pour l’arthrose mono-compartimentale : l’ostéotomie tibiale plus ou moins fémorale du genou. Elle est indiquée chez des patients présentant une arthrose légère à modérée, avec une déformation d’axe mécanique (Genu Varum plus fréquent ou Genu Valgum) et trouve sa place chez des patients jeunes, sportifs, qui pratiquent des sports à impacts non recommandés chez les patients porteurs d’une prothèse unicompartimentale. Elle reste controversée dans l’arthrose mono-compartimentale sur genou normo-axé.
Pour plus d’information sur les techniques chirurgicales, veuillez cliquer sur les onglets ci-dessous.
Album photo
"L'arthrose est un problème de santé publique. Une bonne hygiène de vie et un traitement médical permettent de soulager les douleurs et de gagner en qualité de vie. Le traitement chirurgical n'intervient qu'en deuxième intention."
Docteur Alexandre BAUD
