Alexandre Baud, prothèse de Genou
Prothèse de Genou
Le remplacement de l’articulation du genou est une opération très fréquente en chirurgie orthopédique. Plus de 80 000 prothèses sont posées en France chaque année et les chirurgiens estiment que leur nombre va augmenter avec le vieillissement de la population.
Depuis la première pose de prothèse dans les années 1950, les chirurgiens et les industriels ont fait des avancées technologiques remarquables. La qualité des matériaux utilisés a été améliorée, les techniques chirurgicales ont été optimisées et la planification préopératoire est devenue un outil indispensable. En conséquence, les chances de succès de cette intervention ont été grandement augmentées.
Cette intervention donne de très bons résultats en termes de diminution de la douleur et de reprise de la mobilité et ce, chez plus de 80% des patients opérés. On estime que la durée de vie moyenne d’une prothèse est de l’ordre de 15 à 20 ans, ce qui justifie chez certains patients, une reprise chirurgicale. Le taux de reprise à 10 ans est inférieur à 5%.
Les composants d'une Prothèse Totale de Genou
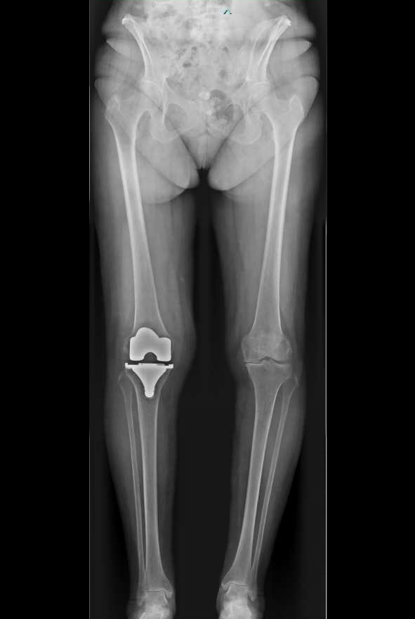
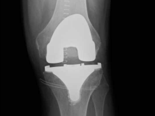
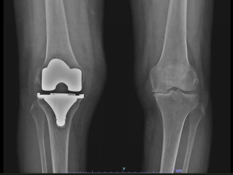
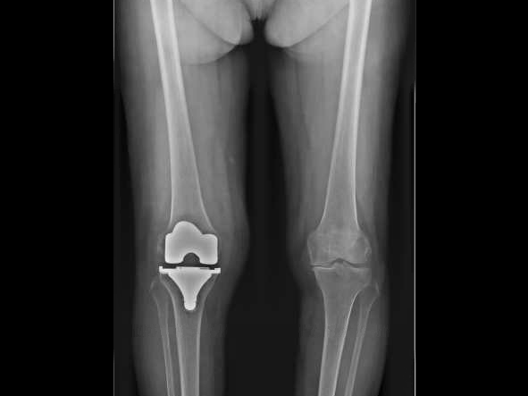
Cette intervention consiste à remplacer l’articulation du genou par des composants artificiels qui reproduisent l’anatomie initiale du genou. Le type d’implant doit être adapté à chaque cas particulier, en ce qui concerne sa forme, sa taille, la nature des matériaux entrant dans sa composition, son revêtement extérieur et la technique chirurgicale à employer.
Généralement, une prothèse de genou se divise en trois parties : un insert fémoral, une embase tibiale surmontée d’un polyéthylène et un resurfaçage de la rotule par un polyéthylène. Les composants sont le plus souvent fixés par du ciment.
La prothèse que nous mettons en place est un implant en alliage CrCoMo (implant fémoral) et titanium (implant tibial).
Des cas exceptionnels d’allergie à un des composants métalliques ont été rapporté (généralement le cobalt). Si vous êtes allergique à un métal, il vous faudra le signaler à votre chirurgien pour qu’il puisse choisir un implant adapté.
Vidéo : Mise en place d'une prothèse totale de genou
Comment se déroule votre hospitalisation?
Vous serez admis dans notre établissement le matin de l’intervention en cas de prise en charge en chirurgie ambulatoire ou la veille en cas d’hospitalisation.
L’intervention chirurgicale se déroule au bloc opératoire sous anesthésie générale et dure environ 45 à 60 minutes. Une anesthésie locale complémentaire sera réalisée par votre chirurgien au cours de l’intervention.
Une fois opéré, vous serez transféré en salle de réveil pour une durée de 1 à 3 heures. Passé ce délai, vous retournerez dans votre chambre. Une collation vous sera donnée en attendant que le kinésithérapeute réalise le premier levé.
Votre rééducation débutera à ce moment-là. Vous marcherez dans le couloir avec une paire de cannes anglaises et vous commencerez à monter et à descendre les escaliers. Le kinésithérapeute vous apprendra les gestes à ne pas faire et quelques exercices d’auto-rééducation.
En fin de journée, vous aurez la visite de votre chirurgien. Si vous êtes pris en charge en chirurgie ambulatoire, vous pourrez regagner votre domicile accompagné d’un proche. En cas d’hospitalisation, vous pourrez vous reposer en attendant votre sortie le lendemain ou les jours suivants.
Votre sortie sera autorisée, une fois que les objectifs initiaux auront été atteints : transfert lit-fauteuil seul, verrouillage du genou en extension, flexion du genou à 90°, marche seule avec 1 ou 2 cannes anglaises, montée et descente de escaliers.
Quelles sont les suites opératoires d'une Prothèse Totale de Genou?
A votre sortie, vous pourrez effectuer votre rééducation chez un kinésithérapeute. Le temps de rééducation s’écoulera sur environ trois mois. Vous apprendrez progressivement à marcher avec une canne, voire même sans canne. Votre kinésithérapeute mobilisera votre genou et réalisera un renforcement musculaire pour obtenir une extension complète et une flexion satisfaisante. Des adhérences peuvent apparaitre au cours de votre phase de cicatrisation tissulaire. Des manœuvres externes, sous anesthésie générale, peuvent vous permettre de gagner en mobilité.
Des exercices d’auto-rééducation à domicile pourront vous être proposés. Vous pouvez vous inspirer des exercices présentés sur cette vidéo.
Vous serez régulièrement revu en consultation lors de visites de contrôle, à un mois, trois mois, six mois et à un an, puis tous les deux ans avec un examen clinique et radiographique.
Vidéo : Auto-rééducation après PTG
Qu'est-ce que la chirurgie prothétique mini-invasive?
Pour diminuer les inconvénients liés à la voie d’abord, des techniques de chirurgie mini-invasive ont vu le jour au Etats-Unis et ont été développées ensuite en France. Elle permet d’accéder au genou par une incision cutanée minime (<15cm) et de préserver les muscles périarticulaires. A noter que la taille de la cicatrice dépend de la morphologie du patient.
Cette technique opératoire diminue les douleurs, le risque hémorragique, permet une récupération fonctionnelle plus rapide et est un élément essentiel de la prise en charge de type Récupération Rapide Après Chirurgie (RAAC)
La Récupération Accélérée Après Chirurgie (RAAC)
Mise en place à la fin de l’année 2014, cette technique de prise en charge vise à autonomiser au maximum le patient. Elle permet de réduire la durée d’hospitalisation au minimum (1 à 3 jours), de contrôler efficacement la douleur et d’améliorer la récupération fonctionnelle.
Elle a révolutionné la prise en charge « classique » jusqu’alors effectuée. Elle permet notamment de réaliser les prothèses de genou en chirurgie ambulatoire. Elle débute dès la consultation préopératoire et se poursuit bien après l’intervention chirurgicale. L’information et le suivi personnalisé du patient sont les clés de la réussite de la RAAC.
Pour plus d’information, vous pouvez consulter la page dédiée à la RAAC en cliquant sur le lien suivant.
La chirurgie prothétique ambulatoire est-elle possible?
La chirurgie ambulatoire est l’aboutissement de la RAAC. Développée outre atlantique, cette prise en charge est arrivée récemment en France. Il s’agit de proposer aux patients la pose d’une prothèse de genou au décours d’une hospitalisation en chirurgie ambulatoire, c’est-à-dire avec un retour à domicile le jour même de l’intervention chirurgicale.
La consultation préopératoire permet d’évaluer votre éligibilité à ce type de prise en charge. Les pathologies à haut risque de décompensation, et le fait de vivre seul à domicile sont des contre-indications à la chirurgie ambulatoire.
Le Docteur BAUD propose cette prise en charge à tous ses patients nécessitant la pose d’une prothèse de genou, éligibles à la chirurgie ambulatoire.
Votre suivi sera assuré par une infirmière coordinatrice et par des rendez-vous rapprochés avec votre chirurgien.
Pour plus d’information, vous pouvez consulter la page dédiée à la chirurgie ambulatoire en cliquant sur le lien suivant.
Quels sont les objectifs d'une Prothèse Totale du Genou?
Une fois votre rééducation achevée, les objectifs de cette intervention chirurgicale sont la diminution voire même l’absence de douleurs, une mobilité accrue de votre genou, et surtout, une amélioration de votre qualité de vie.
Raisonnablement, il vaudra mieux éviter les activités physiques à impact (course, saut, jogging). Mais la plupart des patients pourront reprendre la marche, le vélo, la natation, le golf, etc.…
Vous serez en mesure de reprendre votre activité professionnelle à l’issue du premier mois, et entre 3 et 6 mois, pour vos activités plus exigeantes.
Quels sont les risques d'une Prothèse Totale du Genou?
La mise en place d’une prothèse de genou n’est pas dénuée de complications. On divise généralement ces risques en précoces et tardives. Il est important que vous soyez au courant de ces risques avant que la chirurgie ait lieu. Il vous en sera fait état lors de votre consultation chirurgicale.
Les complications précoces comprennent entre autres, les hématomes, les infections, la thrombose veineuse profonde et l’embolie pulmonaire, les fractures peropératoires, les lésions vasculaires et neurologiques.
Les complications tardives sont les fractures péri-prothétiques, les infections tardives (d’origine hématogène le plus souvent) et le descellement des implants.
- L’infection. Outre les infections nosocomiales contractées au décours de votre hospitalisation, des problèmes infectieux peuvent survenir à distance du geste chirurgical. Une excellente hygiène est la règle lorsque l’on est porteur d’une prothèse articulaire. En effet une infection quelconque, dentaire, urinaire, digestive, pulmonaire, cutanée ou autre, peut conduire à infecter votre prothèse. Il est donc impératif que votre médecin traitant soigne avec attention tous les foyers infectieux potentiels que vous pouvez développer au cours de votre vie. Pour plus d’informations sur les infections de prothèse, vous pouvez cliquer sur l’onglet ci-dessous.
- La phlébite et l’embolie pulmonaire se manifestent par des douleurs du mollet et des difficultés respiratoires. Pour prévenir ces risques liés à l’existence de caillots sanguins, il vous sera prescrit un traitement anticoagulant après la chirurgie. Le kinésithérapeute, suivant les instructions du chirurgien, vous invitera à marcher dès les premiers jours opératoires pour diminuer ce genre de problème.
- L’hématome après une prothèse du genou est un phénomène normal. Cela devient une complication lors qu’il est trop important et/ou qu’il comprime les tissus de voisinage. Dans ce cas, l’évacuation chirurgicale au bloc opératoire est souvent nécessaire.
- La douleur et l’algodystrophie. L’objectif d’une arthroplastie de hanche est de diminuer voire même de supprimer les douleurs. Cependant dans certaines situations, ces douleurs peuvent persister. Pour plus d’informations concernant les douleurs sur prothèse, vous pouvez cliquer sur l’onglet ci-dessous.
D’autres complications sont de fréquence exceptionnelle et peuvent être résumées comme suit :
- Les complications liées à la technicité du geste opératoire, du geste anesthésique, à la défaillance ou à l’usure du matériel implanté.
- Les lésions neurologiques et vasculaires per ou post-opératoires.
- Les complications fonctionnelles liées au non-respect des consignes post-opératoires (délais d’immobilisation, de suspension d’appui, de modalité de rééducation...)
- Les complications liées à la décompensation de tares d’autres appareils (digestif, cardio-vasculaire, pulmonaire, neurologique, dermatologique, endocrinologique, rénal, ...).
- La luxation de prothèse (très rare) nécessite une réintervention
- Le descellement de la prothèse lié à une usure des implants ou à une fragilité de l’os autour de la prothèse.
Album photo
"La chirurgie prothétique en Ambulatoire n'est plus un mythe, c'est une réalité au sein de nos établissements."
Docteur Alexandre BAUD
