Alxandre Baud, prothèse de Hanche
Prothèse Totale de Hanche
Le remplacement de l’articulation coxo-fémorale est l’une des opérations orthopédiques les plus pratiquées dans le monde. Plus de 150 000 prothèses sont posées en France chaque année et les chirurgiens estiment que leur nombre va augmenter avec le vieillissement de la population.
Depuis la première pose de prothèse en 1962, les chirurgiens et les industriels ont fait des avancées technologiques remarquables. La qualité des matériaux utilisés a été améliorée, les techniques chirurgicales ont été optimisées et la planification préopératoire est devenue un outil indispensable. En conséquence, les chances de succès de cette intervention ont été grandement augmentées.
Cette intervention donne de très bons résultats en termes de diminution de la douleur et de reprise de la mobilité et ce, chez plus de 90% des patients opérés. On estime que la durée de vie moyenne d’une prothèse de l’ordre de 20 à 25 ans, ce qui justifie chez certains patients, une reprise chirurgicale.
Les composants d’une Prothèse Totale de Hanche
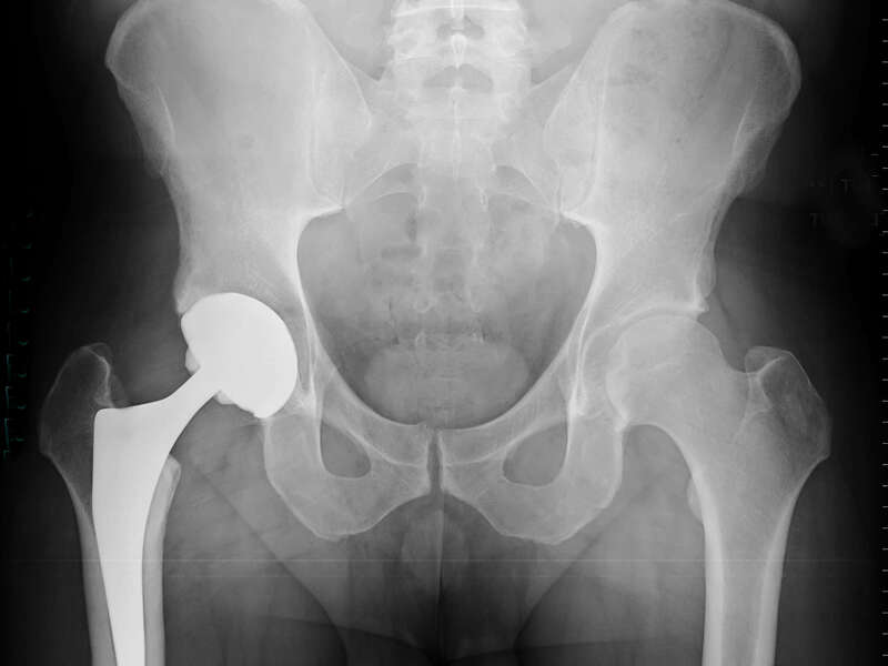
Cette intervention consiste à remplacer l’articulation de la hanche par des composants artificiels qui reproduisent l’anatomie initiale de la hanche. Le type d’implant doit être adapté à chaque patient, en ce qui concerne sa forme, sa taille, la nature des matériaux entrant dans sa composition, son revêtement extérieur et la technique chirurgicale à employer.
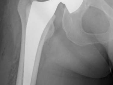
Généralement une prothèse de hanche se divise en deux parties : une tige qui se place dans le fémur et une cupule en polyéthylène ou en céramique entourée d’une hémisphère métallique placée dans le cotyle. Les composants peuvent être fixés avec ou sans ciment chirurgical.
La tige que nous utilisons est une tige en titane non allié (norme ISO 5832-2) avec un revêtement en hydroxyapatite (norme ISO 13779-2) pour les tiges non cimentées.
La Cupule acétabulaire est en acier inoxydable (norme ISO 5832-9) avec un revêtement en poudre d’hydroxyapatite (norme ASTM 1185), et un insert en polyéthylène (norme ASTM F648).
Vidéo : mise en place d'une prothèse totale de hanche
Comment se déroule votre hospitalisation ?
Vous serez admis dans notre établissement le matin de l’intervention en cas de prise en charge en chirurgie ambulatoire ou la veille en cas d’hospitalisation.
L’intervention chirurgicale se déroule au bloc opératoire sous anesthésie générale et dure environ 30 à 45 minutes. Une anesthésie locale complémentaire sera réalisée par votre chirurgien au cours de l’intervention.
Une fois opéré, vous serez transféré en salle de réveil pour une durée de 1 à 3 heures. Passé ce délai, vous retournerez dans votre chambre. Une collation vous sera donnée en attendant que le kinésithérapeute réalise le premier levé.
Votre rééducation débutera à ce moment-là. Vous marcherez dans le couloir avec une paire de cannes anglaises et vous commencerez à monter et à descendre les escaliers. Le kinésithérapeute vous apprendra les gestes à ne pas faire et quelques exercices d’auto-rééducation.
En fin de journée, vous aurez la visite de votre chirurgien. Si vous êtes pris en charge en chirurgie ambulatoire, vous pourrez regagner votre domicile accompagné d’un proche. En cas d’hospitalisation, vous pourrez vous reposer en attendant votre sortie le lendemain ou les jours suivants.
Votre sortie sera autorisée, une fois les objectifs initiaux atteints : transfert lit-fauteuil seul, marche seule avec 1 ou 2 cannes anglaises, montée et descente de escaliers.
Quelles sont les suites opératoires d’une Prothèse Totale de Hanche ?
A votre sortie, vous pourrez effectuer votre rééducation chez un kinésithérapeute. Le temps de rééducation s’écoulera sur environ un à trois mois à raison d’une vingtaine de séances. Il est exceptionnel qu’il faille en faire un plus grand nombre, toute séance supplémentaire peut même devenir néfaste. Vous apprendrez progressivement à marcher avec une canne, voire même sans canne. Votre kinésithérapeute mobilisera votre hanche et réalisera un renforcement musculaire pour obtenir une bonne mobilité et un bon verrouillage de votre articulation.
Des exercices d’auto-rééducation à domicile pourront vous être proposés. Vous pouvez vous inspirer des exercices présentés sur cette vidéo.
Au bout de quelques jours, vous quitterez les cannes anglaises.
Vous serez régulièrement revu en consultation lors de visites de contrôle, à un mois, trois mois, six mois et à un an, puis tous les deux ans avec un examen clinique et radiographique.
Vidéo : Auto-rééducation après PTH
Qu’est-ce que la chirurgie prothétique mini-invasive ?
Pour diminuer les inconvénients liés à la voie d’abord, des techniques de chirurgie mini-invasive ont vu le jour au Etats-Unis et ont été développées ensuite en France. Elles permettent d’accéder à la hanche par une incision cutanée minime (<8cm) et de préserver les muscles périarticulaires. A noter que la taille de la cicatrice dépend de la morphologie du patient.
Cette technique opératoire diminue les douleurs, le risque hémorragique, permet une récupération fonctionnelle plus rapide et est un élément essentiel de la prise en charge de type Récupération Rapide Après Chirurgie (RAAC).
La Récupération Accélérée Après Chirurgie (RAAC)
Mise en place à la fin de l’année 2014, cette technique de prise en charge vise à autonomiser un maximum le patient. Elle permet de réduire la durée d’hospitalisation au minimum (1 à 3 jours), de contrôler efficacement la douleur et d’améliorer la récupération fonctionnelle.
Elle a révolutionné la prise en charge « classique » jusqu’alors effectuée. Elle permet notamment de réaliser les prothèses de hanche en chirurgie ambulatoire. Elle débute dès la consultation préopératoire et se poursuit bien après l’intervention chirurgicale. L’information et le suivi personnalisé du patient sont les clés de la réussite de la RAAC.
Pour plus d’information, vous pouvez consulter la page dédiée à la RAAC en cliquant sur le lien suivant.
La chirurgie prothétique ambulatoire est-elle possible?
La chirurgie ambulatoire est l’aboutissement de la RAAC. Développée outre atlantique, cette prise en charge est arrivée récemment en France. Il s’agit de proposer aux patients la pose d’une prothèse de hanche au décours d’une hospitalisation en chirurgie ambulatoire, c’est-à-dire avec un retour à domicile le jour même de l’intervention chirurgicale.
La consultation préopératoire permet d’évaluer votre éligibilité à ce type de prise en charge. Les pathologies à haut risque de décompensation, et le fait de vivre seul à domicile sont des contre-indications à la chirurgie ambulatoire.
Le Docteur BAUD propose cette prise en charge à tous ses patients nécessitant la pose d’une prothèse de hanche, éligibles à la chirurgie ambulatoire.
Votre suivi sera assuré par une infirmière coordinatrice et par des rendez-vous rapprochés avec votre chirurgien.
Pour plus d’information, vous pouvez consulter la page dédiée à la chirurgie ambulatoire en cliquant sur le lien suivant.
Quels sont les objectifs d'une Prothèse Totale de Hanche?
Une fois votre rééducation achevée, les objectifs de cette intervention chirurgicale sont la diminution voire même l’absence de douleurs, une mobilité accrue de votre hanche, la correction d’une éventuelle inégalité de longueur de membre, une force augmentée du membre inférieur, et surtout, une amélioration de votre qualité de vie.
Raisonnablement, il vaudra mieux éviter les activités physiques à impact (course, saut, jogging). Mais la plupart des patients pourront reprendre la marche, le vélo, le ski, la natation, le golf, etc.…
Vous serez en mesure de reprendre votre activité professionnelle à l’issue du premier mois, et entre 3 et 6 mois, pour vos activités plus exigeantes.
Quels sont les risques d’une Prothèse Totale de Hanche ?
La mise en place d’une prothèse de hanche n’est pas dénuée de complications. On divise généralement ces risques en précoces et tardifs. Il est important que vous soyez au courant de ces risques avant que la chirurgie ait lieu. Il vous en sera fait état lors de votre consultation chirurgicale.
Les complications précoces comprennent entre autres, les hématomes, les infections, la thrombose veineuse profonde et l’embolie pulmonaire, les luxations, les fractures peropératoires, les lésions neurologiques et les luxations de prothèse.
Les complications tardives sont les douleurs chroniques, les fractures péri-prothétiques, les infections tardives (d’origine hématogène le plus souvent) et le descellement des implants.
-
La luxation (déboitement) survient dans environ 1% des cas. Le risque est plus élevé le premier mois. Elle nécessite une réduction par manœuvres externes sous anesthésie générale.
- L’infection. Outre les infections nosocomiales contractées au décours de votre hospitalisation, des problèmes infectieux peuvent survenir à distance du geste chirurgical. Une excellente hygiène est la règle lorsque l’on est porteur d’une prothèse articulaire. En effet une infection quelconque, dentaire, urinaire, digestive, pulmonaire, cutanée ou autre, peut conduire à infecter votre prothèse. Il est donc impératif que votre médecin traitant soigne avec attention tous les foyers infectieux potentiels que vous pouvez développer au cours de votre vie. Pour plus d’informations concernant la prise en charge des infections, vous pouvez cliquer sur l’onglet ci-contre.
-
La phlébite et l’embolie pulmonaire se manifestent par des douleurs du mollet et des difficultés respiratoires. Pour prévenir ces risques liés à l’existence de caillots sanguins, il vous sera prescrit un traitement anticoagulant après la chirurgie. Le kinésithérapeute, suivant les instructions du chirurgien, vous invitera à marcher dès les premiers jours opératoires pour diminuer ce genre de problème.
- L’hématome après une prothèse de hanche est un phénomène normal. Cependant, lorsqu’il est trop important ou qu’il comprime les tissus avoisinants, une évacuation chirurgicale est nécessaire.
- La douleur et l’algodystrophie. L’objectif d’une arthroplastie de hanche est de diminuer voire même de supprimer les douleurs. Cependant dans certaines situations, ces douleurs peuvent persister. Pour plus d’informations concernant les douleurs sur prothèse, vous pouvez cliquer sur l’onglet ci-contre.
D’autres complications sont de fréquence exceptionnelle et peuvent être résumées comme suit :
-
Les complications liées à la technicité du geste opératoire, du geste anesthésique, à la défaillance ou à l’usure du matériel implanté.
-
Les lésions neurologiques et vasculaires per ou post-opératoires.
-
Les complications fonctionnelles liées au non-respect des consignes post-opératoires (délais d’immobilisation, de suspension d’appui, de modalité de rééducation...)
-
Les complications liées à la décompensation de tares d’autres appareils (digestif, cardio-vasculaire, pulmonaire, neurologique, dermatologique, endocrinologique, rénal, ...).
-
Le descellement de la prothèse lié à une usure des implants ou à une fragilité de l’os autour de la prothèse
Album photo
"La chirurgie prothétique en Ambulatoire n'est plus un mythe. C'est une réalité au sein de nos établissements."
Docteur Alexandre BAUD
