Algodystrophie en chirurgie orthopédique
Introduction
L’algodystrophie post-opératoire, aussi connue sous le nom de syndrome douloureux régional complexe (SDRC) de type I, représente une complication redoutée en chirurgie orthopédique. Bien que son incidence reste relativement faible, ses conséquences fonctionnelles peuvent être lourdes, engendrant une altération significative de la qualité de vie. Sa survenue après une intervention chirurgicale – notamment en orthopédie – nécessite une prise en charge adaptée afin d’en limiter les conséquences.
Quelle est le mécanisme physiopathologique de l'algodystrophie?
Les mécanismes physiopathologiques de l’algodystrophie sont encore imparfaitement élucidés, mais plusieurs hypothèses sont avancées. L’implication du système nerveux autonome, une inflammation neurogène locale, et une sensibilisation centrale participent à l’apparition du syndrome. Le dérèglement de l’un de ces systèmes à la suite d’un traumatisme ostéo-articulaire (fracture, entorse, contusion, chirurgie), peut engendrer une algodystrophie.
Quels sont les facteurs de risque de l’algodystrophie?
La chirurgie orthopédique, en tant qu’agression tissulaire majeure, peut déclencher ces réactions anormales, notamment au niveau des extrémités (épaule, genou, cheville, poignet).
Les facteurs de risque identifiés comprennent l’immobilisation prolongée, le stress psychologique, les antécédents d’algodystrophie, et certaines comorbidités telles que le diabète, le tabagisme, ou les troubles anxiodépressifs.
Comment diagnostiquer une algodystrophie?
Le diagnostic d’algodystrophie repose sur un faisceau d’arguments cliniques et paracliniques, dans un contexte souvent évocateur où des facteurs déclenchants sont identifiables, tels qu’un traumatisme, une intervention chirurgicale orthopédique ou une immobilisation prolongée.
Sur le plan clinique, le patient présente typiquement une douleur intense, spontanée ou provoquée, souvent disproportionnée par rapport au traumatisme initial, associée à des troubles vasomoteurs (chaleur, rougeur, œdème), des altérations sensitives (hyperesthésie, allodynie), des troubles trophiques (modifications de la peau, des ongles ou des poils) et une limitation fonctionnelle articulaire. Les critères de Budapest sont aujourd’hui la référence pour le diagnostic clinique, bien que celui-ci soit peu spécifique.
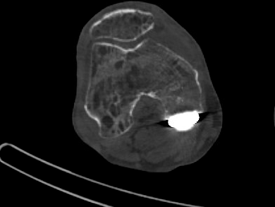
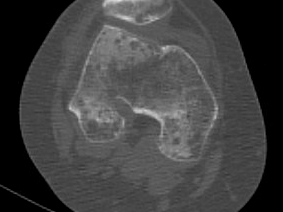
L’imagerie vient renforcer le diagnostic : la scintigraphie osseuse montre classiquement une hyperfixation dans la phase osseuse, tandis que l’IRM peut révéler un œdème médullaire, une déminéralisation mouchetée et des signes inflammatoires périarticulaires. Ces examens permettent de confirmer le diagnostic en cas de doute clinique ou d’évolution atypique.
Quel est le traitement de l'algodystrophie?
La prise en charge repose sur une approche pluridisciplinaire combinant le chirurgien orthopédique, le rhumatologue, le médecin de la douleur et les kinésithérapeutes.
Les antalgiques classiques sont souvent insuffisants. Les traitements de première intention comprennent les anti-inflammatoires non stéroïdiens, les biphosphonates, et parfois les corticostéroïdes. Les antidépresseurs tricycliques ou les anticonvulsivants (type gabapentine ou prégabaline) sont utilisés en cas de douleur neuropathique.
La kinésithérapie précoce et douce est essentielle pour prévenir l’enraidissement articulaire et maintenir la fonction.
Des techniques complémentaires comme la stimulation électrique transcutanée (TENS) ou la prise en charge cognitive et comportementale peuvent être utiles.
Dans les cas sévères ou résistants, une évaluation en centre de la douleur est recommandée.
Conclusion
L’algodystrophie post-opératoire constitue une complication redoutable des actes chirurgicaux orthopédiques. Bien que peu fréquente, son impact fonctionnel peut être majeur. La reconnaissance rapide des premiers signes, associée à une prise en charge précoce, globale et personnalisée, conditionne le pronostic. Une meilleure connaissance des facteurs de risque et une vigilance accrue dans les suites opératoires sont indispensables pour prévenir cette affection invalidante.







