Descellement Aseptique de Prothèse
Introduction
Le remplacement d’une articulation par une prothèse est actuellement le « gold standard » du traitement de l’arthrose sévère en échec de traitement médical, car elle améliore la qualité de vie des patients, soulage leur douleur et restitue une autonomie précieuse. Cette arthroplastie peut être fixée à l’os soit par du ciment soit sans ciment par une colonisation osseuse des implants grâce à un revêtement spécifique, l’hydroxyapatite.
En dehors des échecs précoces de cette intervention, certains patients présentent des douleurs résiduelles persistantes ou apparaissant secondairement. Compte-tenu du nombre important d’arthroplastie effectuées, cette situation clinique n’est pas si rare. Le descellement d’une prothèse est une des causes à évoquer devant ces douleurs et conduit au remplacement de la prothèse.
Qu'est ce qu'un descellement de prothèse?
Le descellement d’une prothèse articulation correspond à la perte de fixation entre l’os et le ciment ou à un défaut d’ostéo-intégration précoce ou tardive d’une prothèse non cimentée. Le descellement peut concerner un ou l’ensemble des composants de la prothèse.
Quelles sont les causes de descellement d’une prothèse ?
Le descellement peut être d’origine mécanique (descellement aseptique) en cas d’usure de la prothèse et de vieillissement de l’os, ou d’origine infectieuse (descellement septique).
Le descellement aseptique lié à l’usure de la prothèse est la conséquence d’une réaction inflammatoire conduisant à l’altération de l’os autour de la prothèse (Ostéolyse péri-prothétique). Avec le temps, les implants prothétiques s’usent et libèrent des microparticules autour de la prothèse. Le produit de cette usure est réabsorbé par l’organisme et entraîne une réaction inflammatoire locale et la formation d’un granulome qui dégrade l’interface entre l’os et la prothèse.
Le vieillissement de l’os, ou ostéoporose, est une perte du capital osseux. Avec le temps, l’os autour de la prothèse ou du ciment se fragilise et peut entraîner une perte de fixation des implants.
Le descellement septique est lié à une infection bactérienne de la prothèse. Cette infection peut être précoce (<1mois), généralement liées à une contamination de la cicatrice ou tardive (>1mois) plus généralement liées à une contamination par le sang (voie hématogène) d’un germe présent dans la sphère ORL/Digestive/Urinaire.
L’âge précoce de pose de la prothèse, la surcharge pondérale et un niveau d’activité soutenu sont des facteurs de risque reconnus de descellement aseptique de prothèse.
Comment diagnostiquer un descellement aseptique d’une prothèse ?
Le descellement aseptique d’une prothèse se manifeste initialement par une gêne au niveau des implants. Progressivement des douleurs et une perte de mobilité articulaire apparaissent et deviennent de plus en plus invalidantes. Cette complication survient généralement à distance de la chirurgie initiale.
Le bilan radiologique (radiographies standards et scanner) recherche un liseré péri-prothétique correspondant à l’ostéolyse péri-prothétique voire même une migration des implants. Votre chirurgien étudiera l’ensemble de vos radiographies post-opératoire pour détecter l’apparition d’un liseré autour de la prothèse ou d’un déplacement des implants. Cependant, cet examen peut être normal.
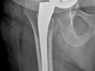
Cas 1. Descellement de tige fémorale (liseré radiotransparent fémoral externe)
Cas 2. Descellement de cotyle antéversé secondairement
La scintigraphie osseuse est systématique. L’hyperfixation péri-prothétique est un argument en faveur du descellement d’une prothèse. Cet examen précise le site exact du descellement. Elle permet aussi de confirmer ou d’infirmer l’hypothèse infectieuse.
L’infection est l’une des principales causes de descellement prothétique. C’est la raison pour laquelle, il est impératif d’éliminer ce diagnostic avant d’envisager une reprise chirurgicale. Le bilan sanguin (NFS, VS, CRP) vérifiera l’absence de syndrome inflammatoire biologique et d’hyperleucocytose à polynucléaires neutrophiles (marqueurs d’infection bactérienne).
Enfin, il est impératif de réaliser une ponction articulaire, au bloc et sous asepsie stricte à la recherche d’un éventuel germe au contact de la prothèse.
Le diagnostic d’une descellement aseptique d’une prothèse est une démarche longue qui nécessite une exploration clinique et paraclinique poussée et repose sur un faisceau d’arguments. Identifier la cause des douleurs est fortement recommandée avant d’envisager un geste chirurgical et permet de planifier sereinement l’intervention chirurgicale.
Comment se traite un descellement aseptique d’une prothèse ?
Une fois le diagnostic posé, et l’étiologie infectieuse éliminée, le remplacement de la prothèse est fortement recommandé. Le descellement est un phénomène irréversible qui entraîne des douleurs croissantes et une perte d’autonomie progressive. Le but de l’intervention est de retirer une partie ou la totalité de la prothèse et de mettre en place de nouveaux implants, généralement plus volumineux pour augmenter la surface d’adhérence à l’os et cimentés.
Lors du retrait des implants, des lacunes osseuses peuvent apparaitre. Ces pertes de substance sont reconstruites par une greffe osseuse prélevée chez le patient ou issue d’un donneur après avoir été traitée en laboratoire. Des cals métalliques peuvent aussi être utilisé pour combler ces espaces.
Des prélèvements bactériologiques sont réalisés autour de l’ancienne prothèse afin de rechercher un éventuel germe responsable du descellement.
Quels sont les objectifs de la reprise de prothèse ?
L’objectif de la reprise d’une prothèse descellée est la diminution de la douleur, la récupération d’une bonne mobilité articulaire, une éventuelle correction d’inégalité de longueur de membre, et l’amélioration de la qualité de vie. Généralement, le délai d’obtention de ces résultats est plus long qu’en cas de prothèse de première intention.
La rééducation débutera immédiatement après l’intervention avec un appui total immédiat sous couvert d’une paire de cannes anglaises et se poursuivra à domicile ou en centre de rééducation. La reprise de la marche sans cannes s’obtient entre 6 semaines et 3 mois post-opératoire. La conduite et la reprise d’une activité professionnelle sont autorisées selon vos progrès autour du 3ème mois. Par ailleurs, il est déconseillé de poursuivre une activité professionnelle physique ou un sport violent après une reprise de prothèse. La marche, le vélo, la natation sont possibles voire même conseillées.
Quels sont les risques de la reprise de prothèse ?
Comme avec n’importe quelle chirurgie majeure, il y a des risques potentiels. Il est important que vous soyez informé de ces risques avant que la chirurgie ait lieu. Parmi ces complications, outre celles liées à l’anesthésie ou aux décompensations de pathologies chroniques, nous retrouvons les douleurs chroniques, les infections, les hématomes, les complications thrombo-emboliques. Cette liste est non exhaustive et il vous en sera fait état lors de votre consultation chirurgicale.








