Luxation de Prothèse
La mise en place d’une prothèse totale de hanche (PTH) est actuellement le « gold standard » du traitement de l’arthrose de hanche sévère en échec de traitement médical, car elle améliore de manière significative la qualité de vie des patients, soulage leur douleur et restitue une autonomie précieuse.
La luxation d’une arthroplastie est la deuxième cause de révision chirurgicale après le descellement aseptique. Son incidence est comprise entre 2 à 4% pour le PTH primaire. Le risque de récidive après un premier épisode de luxation varie de 10 à 60%. Parmi les patients ayant eu un premier épisode de luxation, environ ¼ devront être réopéré.
Le risque de luxation est plus important les 3 premiers mois post-opératoires. Au-delà de 1 an, ce risque augmente de 1% tous les 5 ans.
Quels sont les facteurs de risque de luxation de prothèse?
Parmi les facteurs de risque de luxation, nous retrouvons ceux liés au patient : sujet âgé, présence de troubles cognitifs, les chutes à répétition, la surcharge pondérale, les antécédents de chirurgie sur la hanche opérée, et l’implantation d’une prothèse sur une fracture du col du fémur.
Une autre cause de luxation est le mal positionnement des implants lors de l’intervention chirurgicale : problème d’orientation du cotyle et/ou de la tige fémorale. Ce problème d’orientation peut entraîner un contact précoce entre les implants ou entre la prothèse et un relief osseux. On parle alors « d’impingement ».
La voie d’abord est encore un sujet à débat, mais il semblerait que les voies d’abord postérieures augmentent le risque de luxation de prothèse.
Une des causes les plus fréquentes de luxation précoce de prothèse de hanche est le faux mouvement. En effet, certaines positions peuvent entraîner des luxations : se relever des toilettes, se baisser pour ramasser un objet au sol, se tourner dans son lit.
A distance du geste chirurgical, certaines complications sont pourvoyeuses de luxation : l’usure mécanique et les descellements des implants.
Comment prendre en charge un premier épisode de luxation de hanche?
Les luxations de PTH sont des urgences chirurgicales surtout si elles surviennent dans les trois premiers mois. L’interrogatoire détermine les circonstances de la luxation et le délai entre la pose de la prothèse et la luxation. Les radiographies de hanche confirment le diagnostic et vérifient l’absence de fracture péri-prothétique. En cas de doute, un scanner de hanche peut être prescris.
La réduction doit se faire au bloc opératoire sous anesthésie générale. Des radiographies per-opératoires permettent de vérifier la bonne réduction des implants et l’absence de déplacement secondaire de la prothèse. Des manœuvres sous scopie vérifient la stabilité des implants. Une fois réduite, le membre inférieur luxé est immobilisé par une attelle de genou pendant 3 semaines afin d’éviter les rotations de la hanche, qui sont une source de luxation.
Si la tête fémorale prothétique se sépare de la tige fémorale, on parle de luxation intra-prothétique. Dans ce cas-là, réduction doit se faire à ciel ouvert avec le repositionnement de nouveaux implants identiques aux premiers.
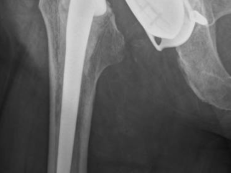
Cas 1. Luxation fémoro-acétabulaire de PTH
Cas 2. Luxation intra-prothétique de PTH
Comment prendre en charge une luxation récidivante de prothèse?
Il est communément admis qu’une reprise de prothèse est nécessaire au-delà du 3ème épisode de luxation.
En cas d’usure mécanique, l’intervention consiste à changer les pièces usées, souvent le polyéthylène ou la céramique. Si la luxation est causée par la rotation des implants due à un descellement de la prothèse, la priorité est d’éliminer une infection. Enfin, les conflits de type « impingement » à l’origine de la luxation nécessitent un changement des implants.
Si la cause n’est pas clairement identifiée, la prise en charge est complexe et les résultats des reprises de prothèse sont incertains. Pour limiter le risque de récidive de la luxation, des cotyles à débord ou des polyéthylènes contraints peuvent être mis en place.








